Menu principale:
Lo studio fornisce un Servizio Personalizzato di Post-elaborazione CT atto a ricavare Stereolitografie, Mascherine Ortodontiche, Analisi Cefalometrica 3D in Formato Multimediale, Video Diagnostici, Video di Progettazione Chirurgica e Video Dimostrativi.
Stereolitografia
Stereolitografie Autoclavabili in Materiale Resinoso
Realizzazione Emiarcata o Arcata Intera
Mascherine Chirurgiche
Servizio Consulenza per realizzazione Mascherine Chirurgiche e Dime Radiologiche
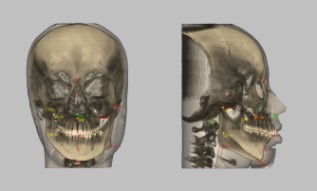
Analisi Cefalometrica 2D / 3D
Analisi Cefalometrica secondo Standard
Analisi Cefalometrica secondo Giannì
Analisi Cefalometrica secondo Tweed
Analisi Cefalometrica secondo Ricketts
Analisi Cefalometrica secondo Università di Milano